Joseph J. Chomiak Jr., D.D.S

215 North Pittsburgh Street | Suite B | Connellsville, PA 15425

Phone: 724-628-8110 |Fax: 724-628-8802

Panorex

A panorex is a very impressive piece of imaging machinery in that it can identify many issues and structures that a normal x-ray is not. Initially you will sit in a chair with your chin on a small ledge. Once positioned in the machine, it will rotate around your entire head taking a full 360-degree view of the teeth, head, sinuses and bones.

The ability to view the full structure of your head is very informative to the dentist. It will allow us to see any potential problems and make sure that everything is functioning as it should be. The panorex can view specific types of structural problems, infections, or asymmetry among others.

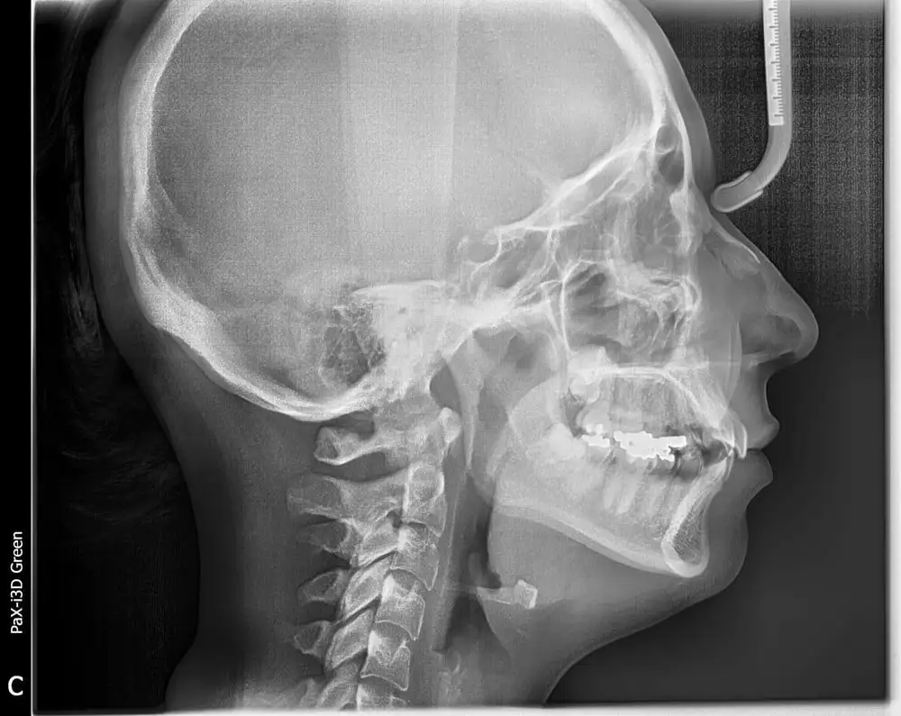
The Panorex is also capable of taking cephalometric images which gives us a lateral view of the skull and its facial structures. This is very useful in orthopedic correction of boney structures during orthodontics and TMJ treatment.

Hours of Operation

Our Regular Schedule

Chomiak Dental, Dentist in Connellsville Pa

Monday:

10:00 am-6:00 pm

Tuesday:

9:00 am-5:00 pm

Wednesday:

Closed

Thursday:

9:00 pm-5:00 pm

Friday:

9:00 am-4:00 pm

Saturday:

Closed

Sunday:

Closed