Joseph J. Chomiak Jr., D.D.S

215 North Pittsburgh Street | Suite B | Connellsville, PA 15425

Phone: 724-628-8110 |Fax: 724-628-8802

CT Scans

i-CAT

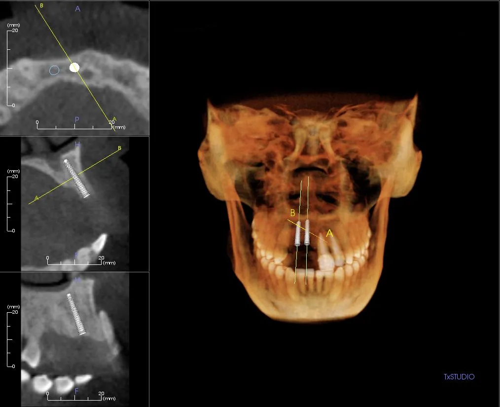
I-CAT Cone Beam 3-D Dental Imaging System

The current emerging standard of care in dentistry and dental implantology is the use of three dimensional x-ray studies. The 3-D images allow the doctor to collect the needed and highly valuable diagnostic information so they can best plan and deliver dental and surgical care.

i-CAT Cone Beam 3D Imaging provides three-dimensional imaging to the dental community, right in the practice office. The system offers active sagittal, coronal, and axial viewing and manipulation. It enhances diagnosis and treatment planning by providing more accurate imaging. Using the 3-D mapping tool, dental professionals can easily format and select desired slices for immediate viewing. Cone Beam imaging delivers quicker and easier image acquisition a typical scan takes only 20 seconds.

The patient benefits from less radiation as well as the comfortable, open environment. Aside from the physical comfort of this system, the doctor can share a visual diagnosis with patients, making them more comfortable with their treatment plan and actively participate in their care. The speed of the scan and the immediate results allows the doctor and patient to better communicate the aspects of a case. 

Benefits of Using the i-CAT Compared to traditional CT scans:

  • Offers advanced imaging within the practice
  • Allows doctors to visualize anatomy that can not be diagnosed externally or in 2 dimensional images.
  • Safer - delivers less radiation to the patient than traditional CT scans.
  • Open environment ensures patient comfort.
  • Thorough diagnostic information (optimum view of the critical anatomy of all oral and maxillofacial structures.)
  • More accurate treatment planning - confirm certain treatments are necessary.
  • More predictable treatment outcomes.
  • Reduces the length and cost of therapy
  • Delivers quicker and easier image acquisition - typical scan takes only 20 seconds.


The i-CAT is fully open and has a short image capture time. Scan images are ready for use in less than 3 minutes and can be emailed, placed on a CD, or printed in full color for your use by the general dentist.

The diagnostic images from the i-CAT scanner can be easily converted into a third party software (i.e. Simplant, Nobel guide, Dolphin, etc.) for pre-surgical evaluation and computer guided surgery. The doctor will receive a viewable animation to help him measure and analyze your case from every aspect. The data can also be used to fabricate your surgical guides.


Implants

Hours of Operation

Our Regular Schedule

Chomiak Dental, Dentist in Connellsville Pa

Monday:

10:00 am-6:00 pm

Tuesday:

9:00 am-5:00 pm

Wednesday:

Closed

Thursday:

9:00 pm-5:00 pm

Friday:

9:00 am-4:00 pm

Saturday:

Closed

Sunday:

Closed